Cabinet dentaire du Docteur Schisselé-Ohlmann
Chirurgien-dentiste à Haguenau
ACCUEIL
NOTRE CABINET
ACCÈS/HORAIRES
SOINS DENTAIRES
ESTHÉTIQUE DENTAIRE
PROTHÈSES
INFO PATIENT
VIDÉOS 3D
24 Boulevard Hanauer, 67500 HAGUENAU
+33 3 88 93 42 95
Cabinet dentaire du Docteur Schisselé-Ohlmann
Chirurgien-dentiste à Haguenau
ACCUEIL
NOTRE CABINET
ACCÈS/HORAIRES
SOINS DENTAIRES
ESTHÉTIQUE DENTAIRE
PROTHÈSES
INFO PATIENT
VIDÉOS 3D
ESTHÉTIQUE DENTAIRE
Nos fiches sur l'esthétique dentaire
LA LIGNE DU SOURIRE
L'ÉCLAIRCISSEMENT DES DENTS
LA COURONNE TOUT CÉRAMIQUE
La dentisterie adhésive
Les facettes en céramique
VOIR TOUTES LES FICHES
Nos vidéos en 3D sur l'esthétique dentaire
Facettes dentaires
Éclaircissement ambulatoire
VOIR TOUTES LES FICHES
Cas cliniques en esthétique dentaire du Dr Schisselé-Ohlmann
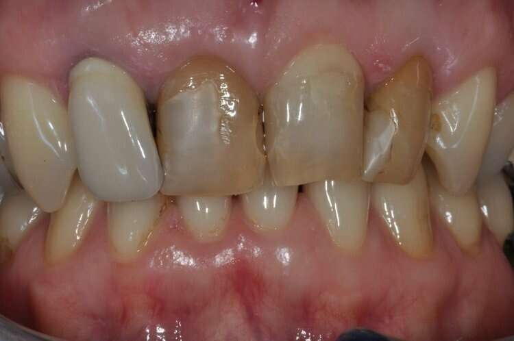
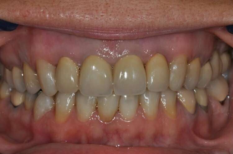
Cas 1 : Réhabilitation du sourire
Avant
Après
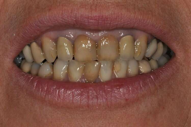
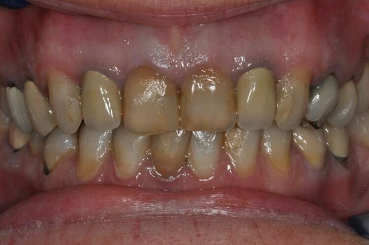
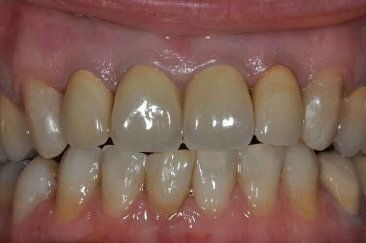
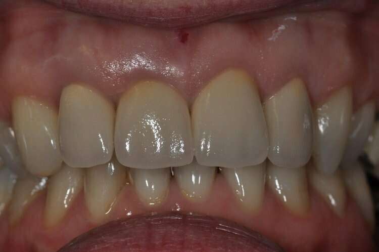
Cas 2 : Réhabilitation du sourire
Avant
Après
Avant
Après
EN SAVOIR PLUS
Politique de confidentialité et charte cookie
Mentions légales
Conditions Générales Utilisation
Charte déontologique
Ordre national
Annuaires chirurgiens dentistes
CONTACT
24 Boulevard Hanauer
67500
HAGUENAU
+33388934295
COORDONNÉES
HORAIRES
Lundi
8h - 13h
,
14h30 - 18h30
Mardi
8h - 13h
,
14h30 - 19h
Mercredi
8h - 13h
,
14h - 18h
Jeudi
8h - 13h
,
14h30 - 19h
Vendredi
8h45 - 12h30
,
14h - 18h
Samedi
Fermé
Dimanche
Fermé
Création par
Connexion
Vidéo en cours de lecture